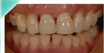
01 牙齿和牙龈交界处的“黑三角”是如何形成的?
正常情况下,两个相邻牙的邻接点到牙颈部,有一个三角形的楔状间隙,会被粉色的牙龈乳头所充满。
但是,在某些情况下,牙龈乳头不能完全覆盖三角形的间隙,形成了可视性的三角形的孔隙,就是“黑三角”。专业上称为开放性的牙间楔状隙。

02 哪些原因可能导致“黑三角”的出现?
“黑三角”可能引起的问题包括:牙根暴露、牙齿敏感、食物的嵌塞、咬合无力、口腔异味等。
可能引起“黑三角”的情况:
1.牙龈萎缩,增龄性的年纪增大,牙龈出现了退缩。
2.最常见病理学的原因,是牙周病导致牙槽骨的吸收,牙龈退缩。
3.女性更年期,激素水平改变,出现骨质疏松,导致牙龈的退缩。
4.牙菌斑矿化形成的牙结石压迫牙龈乳头,出现物理性压迫,同时产生牙龈炎症导致了牙龈的退缩等。
5.吸烟,吸烟的年头、支数越多,“黑三角”产生的概率越大。
6.横向刷牙,牙刷特别硬,造成牙体组织损失,严重楔状的缺损。
7.喜欢用非常硬的牙签粗暴剔牙。
8. 一些不良习惯例如用手指甲扣牙缝,也可能导致局部的牙龈缺损。

03 出现“黑三角”该怎么办?
1.如果是牙周炎症引起的,有牙结石,首先应该先进行系统的牙周治疗,把结石清干净,把局部的炎症控制好,使牙龈恢复到相对健康的情况。
2.用贴面等修复的方法,在牙齿表面贴一层烤瓷贴面,能改善“黑三角”。
3.其他原因或比较严重的“黑三角”,还要具体情况具体分析。

04 牙周病的初期表现是什么样的?
如何预防?
牙周病初期表现:
1.牙龈颜色:正常牙龈是粉色的,如果是鲜红的,一刷牙就出血,可能是炎症的表现。
2.牙龈形态:正常的牙龈比较菲薄,就像扇贝壳一样;异常情况是红肿的,且有增生或有退缩。
3.牙龈质地:正常是比较坚韧的;出现炎症的状况下,质地比较松软,一碰就会出血。
【医生建议】
1.定期到正规医院做检查。
2.有牙周病也要进行专业诊治。

划重点:“黑三角”
1.“黑三角”形成的孔隙,对于口腔健康可能比蛀牙还可怕
2牙龈萎缩、牙周病、女性更年期、吸烟、横向刷牙、用牙签粗暴剔牙等
3牙龈颜色、牙龈形态、牙龈质地都会产生变化